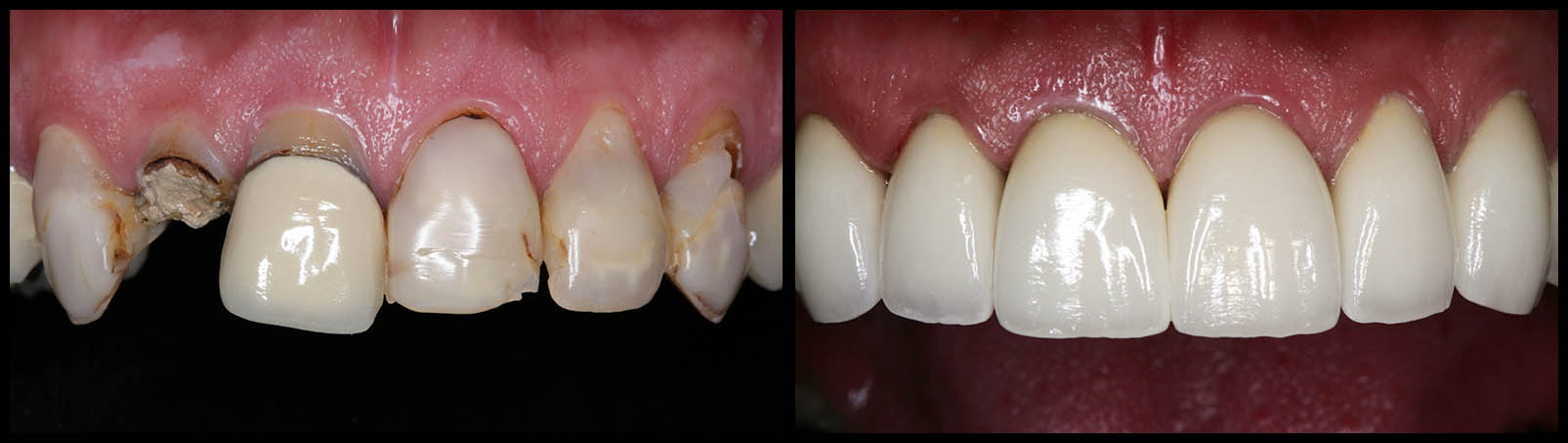
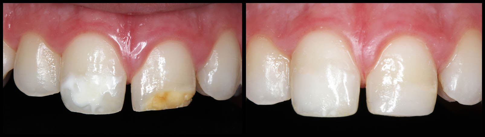
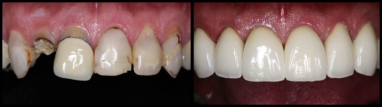
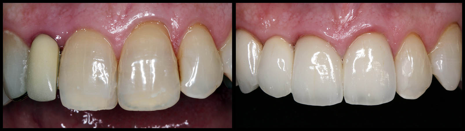
Veneers – Before and After Dental Implants And Crowns | Cosmetic Dentistry Before And After | Bunker Hill Dentistry | Houston, TX Single Front Crown | Before and After Bridge – Before and After Crowns – Before and After Dental Filling | Before and After Filling on Edge – Before and After Front Tooth Implant – Before and After Gum Lift And Veneers Before And After | Bunker Hill Dentistry Gum Lift – Before and After Dental Bonding – Before and After We’ve also put together the biggest online collection of Invisalign before and after pictures – see for yourself what these invisible aligners can do.